Please ensure Javascript is enabled for purposes of website accessibility
Call Now: (225) 529-5960
Picardy: (225) 529-5960
  • Our Practice
    • Meet the Doctors
    • Meet the Team
    • Office Tour
  • Dental Services
    • Children’s Dentistry
    • Dentistry for Adults
    • Dental Implants
    • Cosmetic Dentistry
    • Invisalign
  • Aesthetic Services
    • Botox
    • Filler
Babin Dental logo featuring stylized tooth design with practice name in navy blue text
REQUEST APPOINTMENT
  • New Patients
    • Forms
    • Conveniences
    • Your Comfort
    • Financial Options & Policies
    • FAQ
  • Results
    • Smile Gallery
    • Testimonials
  • Locations
    • Hillary Court
    • Picardy
  • Contact
    • Appointment
    • Contact Us
    • Privacy Policy
BOOK NOW
(225) 529-5960
Call Picardy
Babin Dental logo featuring stylized tooth design with practice name in navy blue text
Let us welcome you to your new dental home. Give us a call today at (225) 529-5960 to schedule a visit!

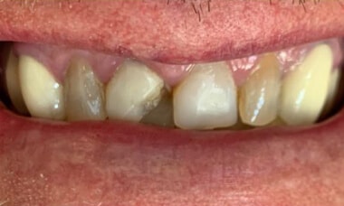
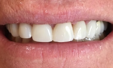
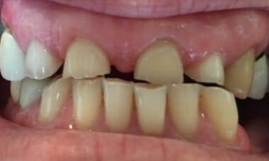
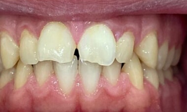
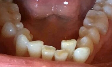
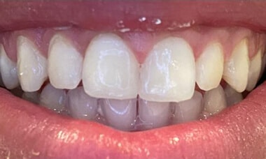
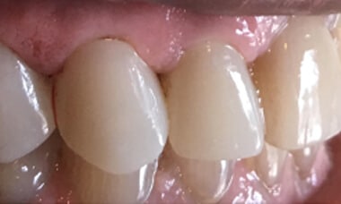
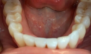
Smile Gallery

New Patients & Emergency Appointments Welcome!

REQUEST APPOINTMENT
Call Us
(225) 529-5960

Patients Love It Here

Four dental professionals in white coats standing in front of brick building entrance.
Decorative quotation marks in sage green, suggesting customer testimonials or reviews for Babin Dental.
Babin Dental has changed my life one appointment at a time. Thank you for focusing on health AND happiness. Great conversation, amazing work, and a caring staff makes feeling comfortable easy.
Five gold stars in a row representing a five-star rating for Babin Dental.
- Amber Cook
Wow! I love Babin Dental and that’s saying something. I’m the world’s biggest chicken in a dental chair. Dr. Randy and Dr. Stephanie are the best, and their staff is amazing. I got my teeth cleaned today by Brittany and my teeth feel so good and I’m showing off my smile! Thanks, y’all!
Five gold stars in a row representing a five-star rating for Babin Dental.
- Joan Weber
My experience at Babin Dental was definitely 5 stars. The entire staff are always professional and very friendly. Dr. Randy and his staff are an amazing dental office and I will definitely be letting my coworkers know about Babin Dental.
Five gold stars in a row representing a five-star rating for Babin Dental.
- Myron Lewis

    Request An Appointment

    To book an appointment or to learn more about our services, please complete the form below. Thank you!

    Connect With Us

    Reach Us

    10631 Hillary Court, Baton Rouge, LA 70810

    (225) 529-5960

    Office Hours

    Monday-Thursday: 8 AM - 4 PM
    Friday-Sunday: Closed

    Google Maps logo icon with colorful pin marker and map interface design
    Find Us on Google Maps
    Colorful map with location pin marker indicating dental office address.
    Find Us on Apple Maps
    © 2026 Babin Dental | All Rights Reserved | Blog | Privacy Policy | Accessibility | Sitemap
    Babin Dental logo featuring stylized tooth design with practice name in navy blue text
    • Our Practice
      • Meet the Doctors
      • Meet the Team
      • Office Tour
      • Technology
    • Dental Services
      • Dentistry for Adults
      • Children’s Dentistry
      • Dental Implants
      • Cosmetic Dentistry
      • Invisalign
    • Aesthetic Services
      • Botox
      • Filler
    • New Patients
      • Forms
      • Conveniences
      • Your Comfort
      • Financial Options & Policies
      • FAQ
    • Results
      • Smile Gallery
      • Testimonials
    • Locations
      • Hillary Court
      • Picardy
    • Contact
      • Appointment
      • Contact Us
      • Privacy Policy

    (225) 529-5960

    10631 Hillary Court Baton
    Rouge, LA 70810

    Request Appointment